-
| お知らせ【ブース出展のご報告】「The 2nd ASEAN Pathology Conference 2025」
-
| お知らせ【ブース出展のご報告】2nd Annual Congress of the Asian Society of Digital Pathology (ASDP 2025 Mumbai)
-
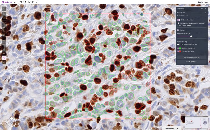
| お知らせ病理AIクラウドシステム「PidPort」、ベトナムのHa Dong General Hospitalにて利用開始
-
| お知らせ【ブース出展のお知らせ】The 2nd ASEAN Pathology Conference
-
| お知らせ【ブース出展のお知らせ】第47回心筋生検研究会学術集会
-
| お知らせ【ブース出展のお知らせ】The 2nd Annual Congress of the Asian Society of Digital Pathology (ASDP)
-
| お知らせ【ブース出展のお知らせ】第84回日本癌学会学術総会
-
| お知らせPidPort、ベトナムのThong Nhat病院にて利用開始
-
| お知らせ【ブース出展のお知らせ】第23回日本デジタルパソロジー・AI研究会総会
-
| お知らせ福岡市「令和7年度IPO Growth Program」に採択されました
-
| お知らせ【ブース出展のお知らせ】第72回日本臨床検査医学会学術集会
-
| お知らせPodcast出演のお知らせ
-
| お知らせ病理画像から膵癌を検出するAIモデルの臨床応用に向けた総説を発表
-
| お知らせメドメインとSMC、ベトナムでのAI病理診断支援の展開に向けたパートナーシップ契約を締結
-
| お知らせ書籍「現場で差がつく デジタル・AI医療 超実践プレイブック」にて代表の飯塚が執筆
-
| お知らせメドメイン、ベトナムの主要医療機関とAI活用・病理診断のデジタル化に向けたMOUを締結
-
| お知らせ【ブース出展のお知らせ】第40回日本臨床細胞学会九州連合会学会
-
| お知らせ【ブース出展のお知らせ】移植腎病理研究会・第28回学術集会
-
| お知らせ【ブース出展のお知らせ】第33回日本乳癌学会学術総会
-
| お知らせ【ブース出展のお知らせ】第70回肝癌症例研究会
-
| お知らせ【登壇のご報告】11th Digital Pathology & AI Congress USA